
They may be used to address concerns such as shape, colour, spacing, or minor alignment.
Veneers are planned conservatively and are only recommended following a thorough assessment. Decisions are guided by long-term stability, harmony with the bite, and preservation of natural tooth structure.
Veneers are not always the most suitable option. Alternatives such as whitening, composite bonding, or orthodontic tooth movement may offer a more conservative approach and are discussed as part of treatment planning.
Veneers are a great option for many patients looking to enhance their smile, but they’re not suitable in every case. Healthy teeth and gums are important before treatment can begin, and some concerns may need addressing first. They’re suited to cosmetic improvements like chips, gaps, or discolouration rather than major dental issues. If you’re unsure, we can assess this during your visit and guide you through the most appropriate options.
Veneers are designed to be a minimally invasive treatment that protects and enhances your natural teeth. A very small amount of enamel is usually removed to ensure a precise fit, but this is carefully controlled and limited. Once placed, veneers actually help protect the tooth surface underneath. If you’re unsure, we can assess this during your visit and guide you through the most appropriate options.
In most cases, veneers are considered a permanent treatment. This is because a thin layer of enamel is removed as part of the preparation process. Once placed, they are intended to stay in position long-term and may eventually need replacing rather than removing. If you’re unsure, we can assess this during your visit and guide you through the most appropriate options.
With good care, porcelain veneers typically last between 10 and 20 years. Their lifespan depends on oral hygiene, lifestyle habits, and regular dental maintenance. They’re highly resistant to staining and maintain a natural appearance over time. If you’re unsure, we can assess this during your visit and guide you through the most appropriate options.
The veneer process is generally very comfortable and well-tolerated. A local anaesthetic may be used during preparation to ensure you feel no discomfort. Some mild sensitivity afterwards is normal, but it usually settles quickly. If you’re unsure, we can assess this during your visit and guide you through the most appropriate options.
Yes, there are several alternatives depending on your goals and clinical needs. Options may include whitening, composite bonding, or orthodontic treatment for alignment concerns. Each has its own benefits, depending on what you’re looking to achieve. If you’re unsure, we can assess this during your visit and guide you through the most appropriate options.
Looking after veneers is simple and very similar to natural teeth. Regular brushing, flossing, and routine check-ups will help keep them in great condition. It’s better to avoid biting very hard objects and to be mindful of habits like nail biting. If you’re unsure, we can assess this during your visit and guide you through the most appropriate options.
Schedule a convenient appointment with our dental professionals and take the first step toward a healthier, brighter smile.
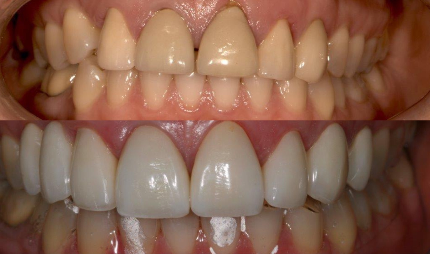
See how we’ve helped patients achieve healthy, confident smiles through personalised care, advanced treatments, and a compassionate, family-focused approach.
Discover More